Logo 3DVinci Health
Optimización 3D médica · DICOM a 3D

3DVinci Health Estandariza tu flujo DICOM a 3D

Convierte estudios DICOM en modelos 3D optimizados y visualizables en web. Reduce carga de hardware, mejora trazabilidad y acelera la entrega clínica.

DICOM
Ingesta y validación
QED
Optimización de mallas
WEB
Visor interactivo

Quiénes somos

3DVinci Health es un servicio web para equipos clínicos y hospitalarios que necesitan transformar estudios DICOM en modelos 3D útiles, optimizados y listos para visualización.

Trazabilidad

Seguimiento por etapa: ingesta, segmentación, 3D, optimización y visor.

Eficiencia

Optimización QED para reducir complejidad y mejorar rendimiento.

Web first

Modelos y visor accesibles desde navegador para colaboración.

Una solución integral para el hospital

Adaptada a las necesidades del hospital, comprometida en optimizar el trabajo quirúrgico y mejorar los resultados en ortopedia, elevando la calidad asistencial y la seguridad del paciente.

Planificación pre-operatoria

Los modelos 3D incluyen herramientas avanzadas en nuestro entorno web de planificación.

Guiado intra-operatorio

Integra la visualización de modelos 3D en monitores durante la cirugía.

Envío automatizado de imágenes

Integración con flujos hospitalarios para cargar estudios de forma más rápida y sencilla.

Soporte especializado

Acompañamiento clínico y/o técnico en el uso de modelos 3D para el equipo del hospital.

Visualización interactiva

Revisa modelos, cortes y reconstrucciones en una experiencia web pensada para equipos clínicos.

Transformamos datos clínicos en reconstrucciones anatómicas en 3D

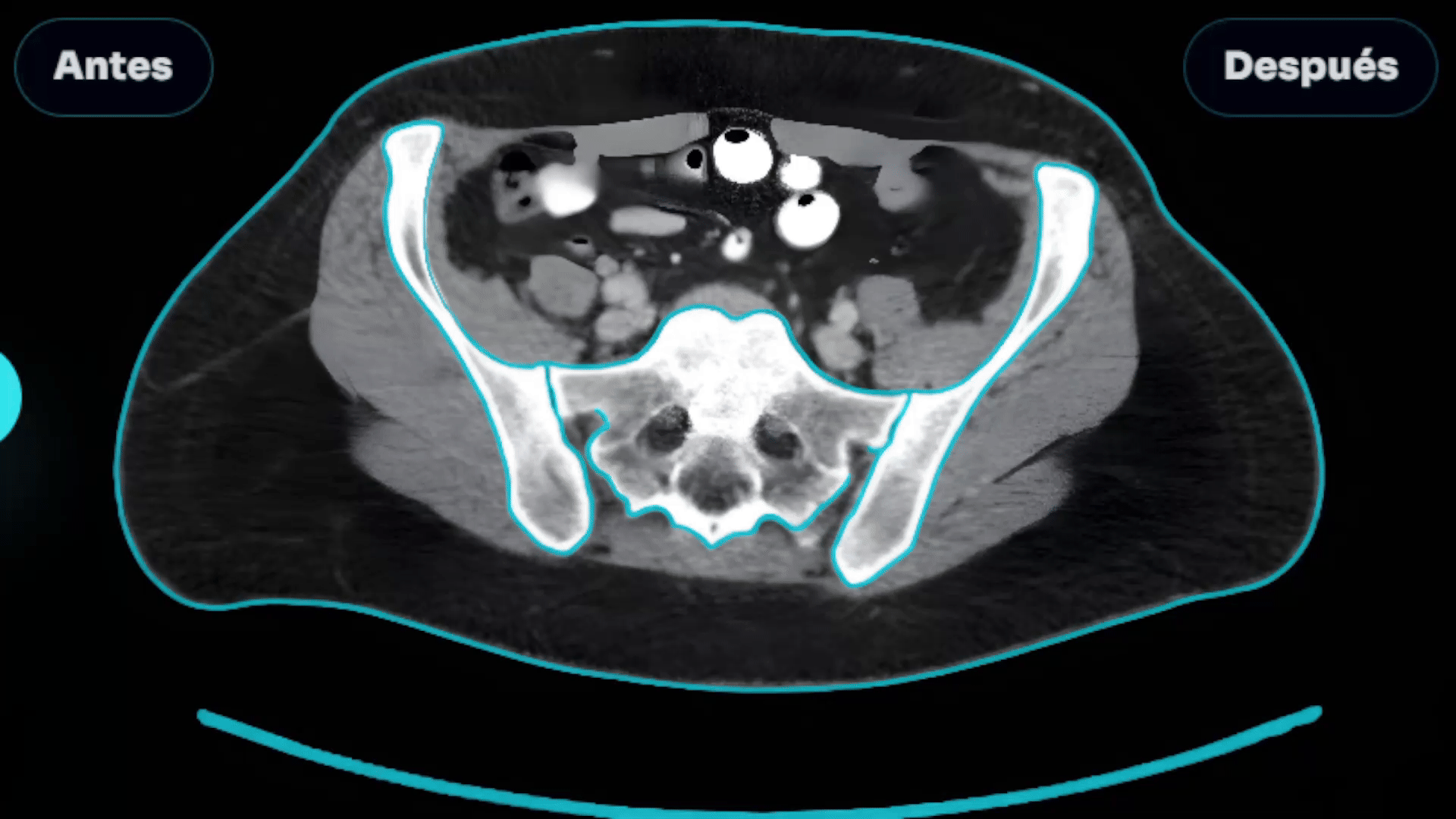
¿Qué es la segmentación de la imagen médica?

Es un proceso esencial en la creación del modelo 3D, donde se identifican con precisión las estructuras anatómicas del paciente. En ortopedia, permite aislar huesos por capas y estudiar fracturas, deformidades y relaciones espaciales.

Partimos de estudios DICOM (TAC o MRI), procesamos digitalmente y generamos un modelo 3D navegable e imprimible para facilitar la planificación quirúrgica.

¿Cómo se crean nuestros modelos 3D para cirugía?
Animación del proceso de segmentación ósea

Planes

Elige el plan que mejor se ajuste al volumen de casos y al equipo.

Beneficios y aplicaciones

Segmentación ósea por capas y modelos 3D para planificación quirúrgica en ortopedia.

Solicitar una demo

1. Beneficios principales

  • • Visualización precisa de fracturas y deformidades.
  • • Planificación quirúrgica más segura y personalizada.
  • • Reducción de tiempos operatorios y mejora en la colocación de prótesis.
  • • Comunicación clara entre cirujanos, pacientes y equipos multidisciplinarios.
  • • Cirugías menos invasivas y con menor riesgo de complicaciones.

2. Aplicaciones clínicas en ortopedia

  • • Reconstrucción de fracturas complejas.
  • • Planificación de osteotomías y correcciones de deformidades.
  • • Diseño y ajuste de prótesis personalizadas.
  • • Evaluación de lesiones articulares y planificación de reemplazos.
  • • Simulación de procedimientos antes de la cirugía real.

3. Cómo funciona la segmentación ósea

  1. Obtención de imágenes médicas: se parte de estudios DICOM (TAC o MRI).
  2. Procesamiento digital: el software identifica y separa cada hueso.
  3. Segmentación por capas: cada hueso se representa en capas diferenciadas y se pueden aislar estructuras específicas (fémur, tibia, radio, etc.). Permite analizar relaciones espaciales entre huesos y tejidos circundantes.
  4. Modelo 3D final: archivo navegable e imprimible para facilitar la planificación quirúrgica.

4. Características técnicas

  • • Sistema de modelado 3D especializado en ortopedia.
  • • Herramienta de visualización interactiva para explorar huesos por capas.
  • • Validación clínica por traumatólogos y ortopedistas.

5. Preguntas frecuentes

  • • Entrega: modelos virtuales en plataforma web; impresos por mensajería.
  • • Compartir modelos con varios especialistas.
  • • Protección de datos: anonimización y controles de acceso.
  • • Urgencias: 48h–4 días según complejidad.
Ver FAQs

6. Calidad y soporte

CALIDAD

Certificación en sistemas de gestión de calidad para dispositivos médicos y revisión clínica del proceso.

SOPORTE

Servicio de atención al cliente con soporte técnico y asesoramiento especializado.

Preguntas frecuentes (FAQs)

Los modelos virtuales quedan disponibles en la plataforma web. Si solicitaste además un modelo impreso, el envío se realiza por mensajería.